1: ばーど ★ 2018/04/10(火) 12:43:54.06 ID:CAP_USER9
「世界一辛い」トウガラシを食べた男性の脳血管に狭窄が見つかった
(CNN) 米ニューヨークで開かれたトウガラシの大食い大会で、世界一辛いといわれる「キャロライナ・リーパー」というトウガラシを食べた挑戦者の男性が、直後に激しい頭痛を訴えて病院に運ばれた。神経科の専門医が9日の医学誌BMJに発表した症例報告で明らかにした。
患者は34歳の男性で、頭と首の激しい痛みを訴えて病院の集中治療室に運ばれた。大会でキャロライナ・リーパーを食べた直後に後頭部に激痛が走り、頸部から頭部にかけてたちまち痛みが広がったという。
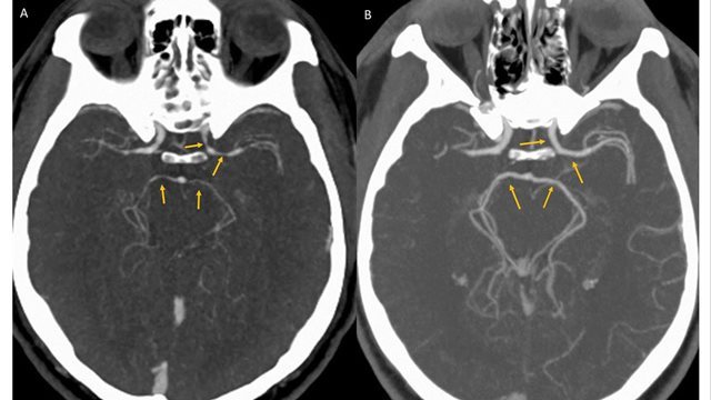
病院で検査した結果、脳出血や脳梗塞は起きていないことが判明。しかしCT血管造影を使って脳内の血管を調べたところ、左側の内頸(ないけい)動脈など脳につながる4本の血管に大きな狭窄(きょうさく)が見つかり、トウガラシが原因と思われる可逆性脳血管攣縮(れんしゅく)症候群(RCVS)と診断された。
専門家によると、RCVSは雷に打たれたような激しい頭痛を伴う疾患で、大抵は数日から数週間で回復するが、重症化すると命にかかわることもある。通常はトウガラシではなく、頭痛薬などの医薬品やコカインなどの違法薬物が関係する。
トウガラシに多く含まれるカプサイシンという化学物質は、身体の特定部位の血管を狭窄させる作用があることが分かっており、局所医薬品にも少量が使われる。
しかしトウガラシがRCVSを引き起こした症例の報告は今回が初めてだという。キャロライナ・リーパーの辛さはハラペーニョの400倍以上といわれている。
男性は治療を受けて快方へ向かい、数日後に退院した。5週間後の検査では、血管狭窄の症状は解消されていたという。
2018.04.10 Tue posted at 11:01 JST
CNNニュース
https://www.cnn.co.jp/fringe/35117471.html
6: 名無しさん@1周年 2018/04/10(火) 12:45:18.27 ID:ZM0QY4vZ0
それもう毒だろ…
13: 名無しさん@1周年 2018/04/10(火) 12:46:27.75 ID:CeMjgjwH0
>>6
だね
だね
35: 名無しさん@1周年 2018/04/10(火) 12:50:09.75 ID:XiOKshlR0
ハバネロより辛いジョロキアは知ってたけどそれより辛いのが出てきてたのか
36: 名無しさん@1周年 2018/04/10(火) 12:50:11.97 ID:JEY84eq2O
劇物指定したほうがよくね?
37: 名無しさん@1周年 2018/04/10(火) 12:50:32.76 ID:LowuSuMp0
>>1
>キャロライナ・リーパーの辛さはハラペーニョの400倍以上
すげぇw
>キャロライナ・リーパーの辛さはハラペーニョの400倍以上
すげぇw
38: 名無しさん@1周年 2018/04/10(火) 12:50:37.10 ID:pfBbsv5y0
このレベルだと辛いじゃなくて痛いだけじゃ?
56: 名無しさん@1周年 2018/04/10(火) 12:52:56.68 ID:BjW7sf6a0
>>38
唐辛子で辛味と言われるカプサイシンに対する反応は元々辛いじゃなくて刺激(痛み)ってあるから、どうなんだろうね?
(カプサイシンとか口に入れなくても肌につけても腫れる反応があるから、味覚ではない的な)
唐辛子で辛味と言われるカプサイシンに対する反応は元々辛いじゃなくて刺激(痛み)ってあるから、どうなんだろうね?
(カプサイシンとか口に入れなくても肌につけても腫れる反応があるから、味覚ではない的な)
41: 名無しさん@1周年 2018/04/10(火) 12:50:58.31 ID:NP2CqTY40
ちょっと試してみたいw
44: 名無しさん@1周年 2018/04/10(火) 12:51:39.44 ID:y85MGhMS0
ここまでくると兵器だろ
45: 名無しさん@1周年 2018/04/10(火) 12:51:41.07 ID:xEUmf5Cf0
毎年違う唐辛子出てないか?
50: 名無しさん@1周年 2018/04/10(火) 12:52:07.13 ID:CNgIUgEg0
こんなん尻の穴が痛いのと同じやろ
57: 名無しさん@1周年 2018/04/10(火) 12:53:02.32 ID:TOoRc9i/0
どうやって辛さを測るの?
137: 名無しさん@1周年 2018/04/10(火) 13:16:23.75 ID:GN9Ax3Sv0
>>57
何倍に薄めた時に、基準の辛さと同じになるかで測るんじゃない?
何倍に薄めた時に、基準の辛さと同じになるかで測るんじゃない?
144: 名無しさん@1周年 2018/04/10(火) 13:17:32.13 ID:w8RQirKo0
>>137
スコヴィル値は、砂糖水で何倍に薄めたら辛さを感じなくなるか、って測り方。
スコヴィル値は、砂糖水で何倍に薄めたら辛さを感じなくなるか、って測り方。
58: 名無しさん@1周年 2018/04/10(火) 12:53:07.36 ID:T+vZX3cy0
激辛は心臓にもダメージでかいし
60: 名無しさん@1周年 2018/04/10(火) 12:53:22.03 ID:GbpzcMqt0
おっそろしいな…
71: 名無しさん@1周年 2018/04/10(火) 12:55:18.04 ID:TOoRc9i/0
俺は赤いペヤングが限界かなw
122: 名無しさん@1周年 2018/04/10(火) 13:12:46.37 ID:8bAqQC8W0
>>71
何気にあの赤ペヤングかなりレベル高いよな
俺は断念した
何気にあの赤ペヤングかなりレベル高いよな
俺は断念した
82: 名無しさん@1周年 2018/04/10(火) 12:59:30.86 ID:isaHs1fX0
ん?いまの世界一ってドラゴンブレスじゃなかったっけ
94: 名無しさん@1周年 2018/04/10(火) 13:04:44.63 ID:w8RQirKo0
60万スコヴィルのデスソース舐めたことあるけど、爪楊枝の先に
ちょろっとつけて舐めるだけで口の中全体が燃えたな。
ちょろっとつけて舐めるだけで口の中全体が燃えたな。
232: 名無しさん@1周年 2018/04/10(火) 13:46:42.13 ID:4Hu0Lwa80
>>94
200万スコヴィルのウルトラデスとか
500万スコヴィルのマッドドッグを使ってみ
特にマッドドッグはダウナー系みたいな効果もあるからw
200万スコヴィルのウルトラデスとか
500万スコヴィルのマッドドッグを使ってみ
特にマッドドッグはダウナー系みたいな効果もあるからw
97: 名無しさん@1周年 2018/04/10(火) 13:05:22.02 ID:kwxmA1vJ0
こんな物食おうとする奴は始めから脳に欠陥がある
126: 名無しさん@1周年 2018/04/10(火) 13:13:45.31 ID:UWnOQNQF0
鈴木亜美に食わせよう
154: 名無しさん@1周年 2018/04/10(火) 13:20:40.89 ID:BW1MZi7R0
ジョロキア体験記
まずパクリと口に入れた瞬間だが、一瞬 「あれ、ピーマンのような……」 という錯覚に陥る。
しかし、0.3秒後には、それは幻だと気づく。いや、辛いなんてもんじゃない。
“痛い”のだ。口の中が猛烈に痛い。
止まらない汗。あつい。あつい。なかでもヤバくなっていくのは「喉」だ。
喉ちんこのあたりの、喉の入り口が燃えているように痛い。
まるで溶岩が流れたあとのような、とにかく激痛なのである。喉があまりにも痛くて、もう何も考えられない。
しばらくすると、立ち上がれないほどの気持ち悪さになってきた。
もう本当に倒れそう。ドキドキする心臓、息のハアハアも止まらない。
汗もダラダラ出てきて、体はプルプルと震えてきて、指先は冷たくなり、やがて指がおかしな方向に固まってしまった。
モノを普通に持つことすらできない。
ここで自ら救急車を要請。その後、牛乳を飲んだら楽になったが、まだ指先や顔は真っ白状態。血の気がひいている状態だ。
救急隊員の話によると、指の固まりなどは「過呼吸」によるものだという。
また、自分で指を突っ込んで嘔吐するのはダメなのだそうな。理由は肺に嘔吐物が流入して、さらに事態が悪化するおそれがあるからだという。
−−
以上が、とある激辛大好き人物の体験記
私(記者)もうっかり素手でジョロキアを触ってしまったのだが、その日の晩から手が熱を帯び、
翌日いっぱいまで保冷剤を握っていないと痛くて何もできないという事態に陥ってしまった。
外界からの刺激に比較的強い手の平ですらこうである。
体内の粘膜に直接触れるかと思うと……。
ジョロキア体験記が誇張でも何でもなく事実であることが容易に想像がつく。
まずパクリと口に入れた瞬間だが、一瞬 「あれ、ピーマンのような……」 という錯覚に陥る。
しかし、0.3秒後には、それは幻だと気づく。いや、辛いなんてもんじゃない。
“痛い”のだ。口の中が猛烈に痛い。
止まらない汗。あつい。あつい。なかでもヤバくなっていくのは「喉」だ。
喉ちんこのあたりの、喉の入り口が燃えているように痛い。
まるで溶岩が流れたあとのような、とにかく激痛なのである。喉があまりにも痛くて、もう何も考えられない。
しばらくすると、立ち上がれないほどの気持ち悪さになってきた。
もう本当に倒れそう。ドキドキする心臓、息のハアハアも止まらない。
汗もダラダラ出てきて、体はプルプルと震えてきて、指先は冷たくなり、やがて指がおかしな方向に固まってしまった。
モノを普通に持つことすらできない。
ここで自ら救急車を要請。その後、牛乳を飲んだら楽になったが、まだ指先や顔は真っ白状態。血の気がひいている状態だ。
救急隊員の話によると、指の固まりなどは「過呼吸」によるものだという。
また、自分で指を突っ込んで嘔吐するのはダメなのだそうな。理由は肺に嘔吐物が流入して、さらに事態が悪化するおそれがあるからだという。
−−
以上が、とある激辛大好き人物の体験記
私(記者)もうっかり素手でジョロキアを触ってしまったのだが、その日の晩から手が熱を帯び、
翌日いっぱいまで保冷剤を握っていないと痛くて何もできないという事態に陥ってしまった。
外界からの刺激に比較的強い手の平ですらこうである。
体内の粘膜に直接触れるかと思うと……。
ジョロキア体験記が誇張でも何でもなく事実であることが容易に想像がつく。
256: 名無しさん@1周年 2018/04/10(火) 14:00:21.22 ID:1zDu2iIc0
>>154
どう考えても毒物
どう考えても毒物
199: 名無しさん@1周年 2018/04/10(火) 13:32:02.22 ID:Krwz8XLIO
辛い物は慣れでかなり軽減されるからな
昔はマグマみたいなラーメン食ってた俺だが久しぶりに食うと普通のキムチですら頭痛する。あれはゆるやかな毒だw
昔はマグマみたいなラーメン食ってた俺だが久しぶりに食うと普通のキムチですら頭痛する。あれはゆるやかな毒だw
201: 名無しさん@1周年 2018/04/10(火) 13:33:27.45 ID:A/UkL65i0
その激痛がまたくせになるんだろうな
224: 名無しさん@1周年 2018/04/10(火) 13:44:19.09 ID:2QysVGUG0
タバスコ 2,500スコヴィル
ハラペーニョ 8,000スコヴィル
ハバネロ 35万スコヴィル
ブートジョロキア 100万スコヴィル
ウルトラデスソース 117万スコヴィル
トリニダードスコーピオン 146万スコヴィル
キャロライナリーパー 220万スコヴィル←ここ
ドラゴンズブレス 240万スコヴィル
ハラペーニョ 8,000スコヴィル
ハバネロ 35万スコヴィル
ブートジョロキア 100万スコヴィル
ウルトラデスソース 117万スコヴィル
トリニダードスコーピオン 146万スコヴィル
キャロライナリーパー 220万スコヴィル←ここ
ドラゴンズブレス 240万スコヴィル
235: 名無しさん@1周年 2018/04/10(火) 13:48:18.63 ID:nHP2qopf0
>>224
ハバネロ辺りから十分に生物兵器と言えるな
目に入ったら失明かしばらく目が開けられないだろうに
ハバネロ辺りから十分に生物兵器と言えるな
目に入ったら失明かしばらく目が開けられないだろうに
241: 名無しさん@1周年 2018/04/10(火) 13:53:20.53 ID:M7ycmbJb0
なんで次から次へとより辛い唐辛子が出てくるんだよ
245: 名無しさん@1周年 2018/04/10(火) 13:54:15.15 ID:mUmrAwRZ0
辛さを追求すると劇物との区別がなくなるらしいな
258: 名無しさん@1周年 2018/04/10(火) 14:00:53.34 ID:+KPogKXo0
もうハバネロって雑魚の部類になってるのかな
266: 名無しさん@1周年 2018/04/10(火) 14:06:10.17 ID:BXe8u1c30
>>258
激辛好きにはザコキャラらしいが、普通の人にはサウザーだよ
激辛好きにはザコキャラらしいが、普通の人にはサウザーだよ
279: 名無しさん@1周年 2018/04/10(火) 14:14:40.36 ID:4Y5JUhLM0
>>266
お菓子やカレーは調整してあるから普通の人でもチョット強敵ぐらいだけど
直はそんぐらい強いだろうね、普通の唐辛子でも口が焼き払われるようだしw
普通に買える暴君ハバネロや辛いカレーも
辛いの苦手な人だったらやられるぐらいはあるからなぁ
お菓子やカレーは調整してあるから普通の人でもチョット強敵ぐらいだけど
直はそんぐらい強いだろうね、普通の唐辛子でも口が焼き払われるようだしw
普通に買える暴君ハバネロや辛いカレーも
辛いの苦手な人だったらやられるぐらいはあるからなぁ
272: 名無しさん@1周年 2018/04/10(火) 14:11:24.17 ID:/6PbWrxT0
スコヴィル値
160億 純粋なレシニフェラトキシン、化学やけどを引き起こす毒素
1600万 純粋なカプサイシン、ジヒドロカプサイシン
710万 ザ・ソース(オリジナル・フアン・スペシャルティ・フーヅ社の製品)
530万 警察官用トウガラシスプレー原料(実際には数十倍に薄めて使用される)
240万 英国で開発されたトウガラシの新品種「ドラゴンズ・ブレス」
200万 一般用トウガラシスプレー原料(実際には数十倍に薄めて使用される)
156万9300 - 220万 キャロライナ・リーパー(キャロライナの死神)
10万 - 35万 ハバネロ
10万 - 12万5000 カイエンペッパー
5万 - 10万 タイ・ペッパー(プリッキーヌー)
4万 - 5万 鷹の爪
7000 - 8000 タバスコ・ハバネロソース
2500 - 8000 ハラペーニョ
160億 純粋なレシニフェラトキシン、化学やけどを引き起こす毒素
1600万 純粋なカプサイシン、ジヒドロカプサイシン
710万 ザ・ソース(オリジナル・フアン・スペシャルティ・フーヅ社の製品)
530万 警察官用トウガラシスプレー原料(実際には数十倍に薄めて使用される)
240万 英国で開発されたトウガラシの新品種「ドラゴンズ・ブレス」
200万 一般用トウガラシスプレー原料(実際には数十倍に薄めて使用される)
156万9300 - 220万 キャロライナ・リーパー(キャロライナの死神)
10万 - 35万 ハバネロ
10万 - 12万5000 カイエンペッパー
5万 - 10万 タイ・ペッパー(プリッキーヌー)
4万 - 5万 鷹の爪
7000 - 8000 タバスコ・ハバネロソース
2500 - 8000 ハラペーニョ
277: 名無しさん@1周年 2018/04/10(火) 14:13:24.11 ID:GDUhaD5W0
好き好んで劇物口にしてんだししゃーない
元スレ:http://ai.2ch.sc/test/read.cgi/newsplus/1523331834/
|
|
おすすめサイトの最新記事



まだ恐ろしいスコヴィル値の出て来る可能性があるのか…
なんかもう
そんなにおおーとか、すげーとか思われたいか?
0.3秒って‥‥もうしんどいやろそんな生き方
実際には超激辛じゃないんだろうけど、その番組見た頭の軽い奴が真似して他人に強要するんじゃないかと心配になる。
脳にこなくてもショック死とか色々あるだろうに。
なぜ辛いだけの物質を食品扱いするのか
それもう毒だろ… じゃなくて完全に毒(最初の毒は自然物から造られた)
自分のちょうどいい辛さを通り越して無理して食事する意味あるのかな
と思い始めてやめた
ドラゴンブレスは喉が焼け爛れるからもはや食い物ではない
なお、辛さはキャロライナリーパーの約2倍
辛いじゃなくて痛いだけじゃ?って何言ってんの
唐辛子は10本程度でも食べすぎに当たるんだそうだ
いやもうこれ毒でしょ
人間がこんなんなっちゃうものは食べ物ではなくて毒なのでは?
シーチキンまったく悪くないのに犠牲になってて草
含有量の差の方が大事でしょ
医療麻酔用に開発された品種
毒物がカプサイシンな訳でね…。
大量摂取や習慣的な摂取で異常をきたすのは当然と言えば当然。
それを鈴木亜美ちゃんは平気で食べちゃうんだよ
毒かどうかは一概に言えないんだろうね
俺も焼きそばにデスソースと大辛唐辛子をたっぷりかけて喰うけど旨いよ
食べ物を遊びに使うなよ。
数時間後に腸が、翌日には肛門が明らかにダメージ受けてるが。
タバスコはすっぱいから嫌い!